Diagnostic Cases
Canine with cervical pain.
We performed a high-resolution cervical MRI in this two year old canine in distress with cervicalgia. The superb resolution of our scan allowed a rapid, definitive diagnosis explaining the symptom.
Feline with vestibular disease.
This feline presented with a disturbance of the peripheral vestibular system,
seen symptomatically as a loss of normal balance. MRI was a key diagnostic tool
in the diagnosis.
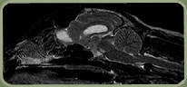
Canine with Syringomyelia.
In the MRI perfomed on this Spaniel with Syringomyelia, you can see the hindbrain poking down through the foramen magnum. Several wide syrinxes can be seen in the cervical spinal cord (white).
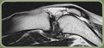
Canine with cruciate tear.
This mix breed presented with abulatory deficite and the MRI performed clearly demonstrated a Cruciate Ligament Tear in the Knee, seen in this sagittal T2 image .
Special Info
Ask about our Concierge™ service. Our clients rave about the special touch we provide for our Concierge™ patients.
Read More

.gif)
